Introducing a new PerioProtect Gel!
Restore Structure + Relieve Hypersensitivity
ReminGel™ is a patent-pending, convenient, ready-to-use gel, consisting of a blend of hydroxyapatite, hydroxyapatite precursors, and free calcium and phosphate that help restore the tooth’s hydroxyapatite structure through remineralization. This results in tubule occlusion and blocks fluid flow in dentinal tubules, relieving dentinal sensitivity and promoting ongoing remineralization of the affected area.
Download Our Homecare Instructions
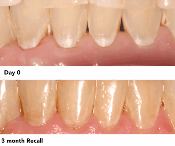
Clinical Case
Clinical Case: ReminGel treatment with
PerioProtect Trays® daily for 15 minutes.
No prior treatment, routine cleaning only.
Key Benefits
Relieve sensitivity from whitening procedures, cold, heat, acids, or sweets.
Helps remineralize enamel, reduces white spot lesions, and delivers minerals where they are needed most.
Biocompatible, fluoride free, and gentle, suitable for both professional application and home use.
Limited Time Offer for CDS Only:
Introductory offer
This special offers is available during Chicago Midwinter so that you can try ReminGel™ for your practice. Experience its impact on enamel health and sensitivity relief firsthand.
Use coupon code for this exclusive offer: CDS2026
Patient Centered - Flexible Delivery
ReminGelâ„¢ is a scientifically-formulated aqueous gel. The mechanism of action includes both physical tubule occlusion and potassium-mediated nerve desensitization.
ReminGel has a hydroxyapatite-rich formulation that is enhanced with buffering agents and flavoring to improve patient compliance and comfort. With an application time of 3-15 minutes with PerioProtect Trays®, ReminGel is easily incorporated into existing treatment protocols and into patients daily oral hygiene routines. It is a versatile option for managing sensitivity, across a range of treatment scenarios, including post-whitening care, while also remineralizing teeth.
For prescription and over-the-counter use supporting both clinical efficacy and patient accessibility.
Frequently Asked Questions
The ingredients in the gel include calcium salts, potassium salts, phosphate salts, pH Buffer, methyl salicylate, thickening agent, wintergreen flavoring. With these ingredients and our patented method, we are able to create apatite structures (hydroxyapatite and chlorine bearing hydroxyapatite) and hydroxyapatite precursors to alleviate sensitivity, remineralize teeth and strengthen enamel.Â


